Künstliche Intelligenz im Herzkatheterlabor

Bild
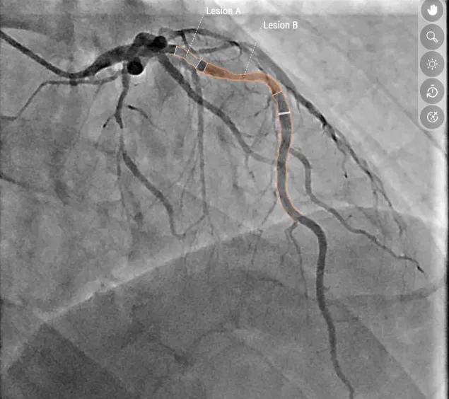
Bildaufnahme einer Engstelle der Vorderwand des Herzens

Künstliche Intelligenz im Herzkatheterlabor

Das Klinikum Wels-Grieskirchen hat 2025 als eine der ersten Institutionen in Österreich die modernste KI-gestützte GFR-Software im Herzkatheterlabor eingeführt – und revolutioniert damit die Diagnostik koronarer Herzerkrankungen. Künstliche Intelligenz unterstützt die Ärzteteams durch eine dreidimensionale Rekonstruktion der Angiografien von Herzkranzgefäßen und liefert eine automatisierte Analyse möglicher Durchblutungsstörungen. Patientinnen und Patienten profitieren von einer besonders schonenden, präzisen und personalisierten Diagnostik.

"Diese Innovation ist ein bedeutender Schritt hin zu einer personlisierten und präzisen Herzmedizin, von der unsere Patientinnen und Patienten direkt profitieren", so Ronald Binder, Leiter der Abteilung für Innere Medizin II, Kardiologie und Intensivmedizin, am Klinikum Wels-Grieskirchen.

Goldstandard mit intelligenter Unterstützung

Die Darstellung der Herzkrankgefäße mittel Kontrastmittel und Katheter zählt seit vielen Jahren zum Goldstandard in der Diagnose und Behandlung von koronaren Herzerkrankungen. Bislang wurden die Angiografien von interventionellen Kardiologinnen und Kardiologen visuell analysiert. "Bei unklarer Relevanz einer Gefäßverengung – einer Stenose – konnte zusätzlich ein sogenannter Druckdraht eingebracht werden, um den Blutfluss zu messen", erklärt Binder. Mit der neuen QFR-Software (Quantitative Flow Ratio) entfällt dieser invasive Schritt in vielen Fällen.

Bild
Bild von Primar Dr. Binder

"Die KI erkennt die Gefäße automatisiert, rekonstruiert sie dreidimensional und erstellt ein hämodynamisches Modell, das anzeigt, ob die Engstelle zu einer zu einer relevanten Durchblutungsstörung führt."

Prim. Priv.-Doz. Dr. Ronald K. Binder, Leiter der Abteilung für Innere Medizin II, Kardiologie und Intensivmedizin

 

"Gleichzeitig analysiert die Software, ob und wie sich die Versorgungslage des Herzens durch eine eventuelle Gefäßaufweitung verbessern würde." So wird die Therapieentscheidung datenbasiert unterstützt und kann für jede Patientin und jeden Patienten individuell getroffen werden.

Bild
Darstellung von Engstellen der Vorderwand des Herzens

Links die klassische Darstellung, rechts das KI-Modell: Mit Hilfe der Software konnten zwei Engstellen an der Vorderwand des Herzens identifiziert und eine relevante Beeinträchtigung der Sauerstoffversorgung festgestellt werden. Das hämodynamische Modell zeigt: Eine gezielte Aufdehnung nur einer der beiden Stenosen reicht aus, um den Blutfluss wieder zu normalisieren.

KI in der Medizin – Potenzial für mehr Präzision

Spätestens mit dem breiten Einsatz von Sprachmodellen wie ChatGPT ist Künstliche Intelligenz im Alltag vieler Menschen angekommen. In der Medizin unterliegen KI-Anwendungen jedoch strengen gesetzlichen Anforderungen: Sie müssen wissenschaftlich geprüft und als Medizinprodukt zugelassen werden. Besonders bewährt sich die KI in Bereichen, in denen große Bildmengen auszuwerten sind – wie in der Radiologie oder eben der Kardiologie. "Während Menschen im Laufe ihres Berufslebens nur eine begrenzte Zahl an Fällen studieren können, lassen sich KI-Modelle mit Millionen Datensätzen trainieren. Das ermöglicht eine konstante, reproduzierbare Qualität in der Befundung und unterstützt die ärztliche Expertise", erklärt der Kardiologe. "Was vor wenigen Jahren noch nach Science-Fiction klang, ist heute gelebte Realität – und wird die moderne Medizin zunehmend prägen." Die Anwendung der KI-Technologie QFR zählt zu den praxisnahen und sinnvollen Einsatzmöglichkeiten von KI in der Medizin. Sie nutzt die Stärke der KI in der bildbasierten Mustererkennung und hämodynamischen Modellierung, um invasive Eingriffe zu reduzieren und gleichzeitig die diagnostische Aussagekraft zu erhöhen. Besonders überzeugend: Die Technologie ergänzt die ärztliche Entscheidungsfindung, ohne sie zu ersetzen – ein gutes Beispiel für eine Mensch-Maschine-Kollaboration auf hohem Niveau.

 

Stand: Mai 2025

phone
Gesundheits­beratung

1450